- بازديدکنندگان آنلاين14
- بازديد کنندگان اين صفحه14434
- بازديدکنندگان امروز9214
- کل بازديدکنندگان78477540
- تاریخ آخرین بروز رسانی: دوشنبه ٠٥ آبان ١٤٠٤
سبزوار - خیابان اسدآبادی
آدرس اینترنتی:hh.medsab.ac.ir
تلفن: 44011600
چاپ
ارسال به دوست

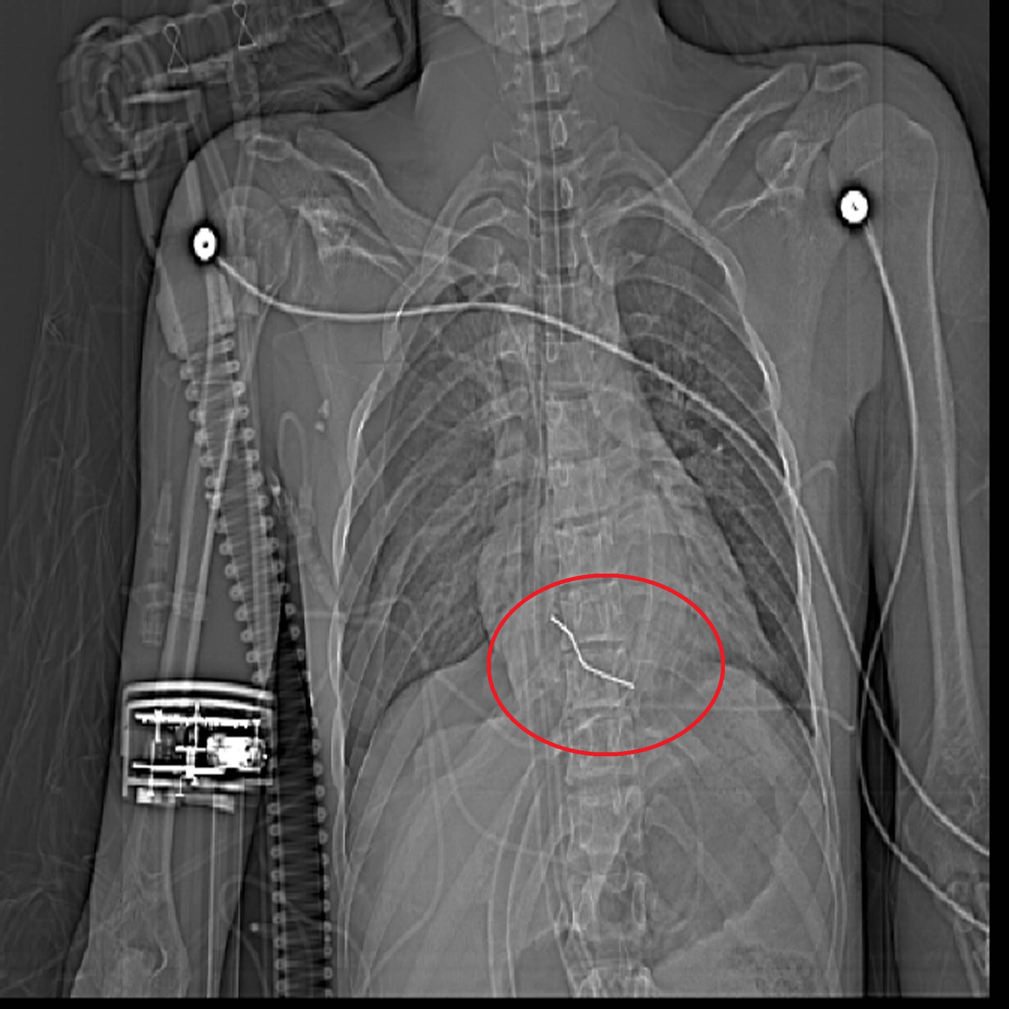
خارج کردن میخ 5 سانتیمتری از قلب پسرجوان سبزواری
روابط عمومی بیمارستان تخصصی و فوق تخصصی حشمتیه از نجات جان بیمار بعد از خارج کردن میخ 5 سانتیمتری از قلب بیمار خبر داد.
به گزارش روابط عمومی بیمارستان حشمتیه دکتر راستی ریاست بیمارستان حشمتیه عنوان کرد: 23 خرداد ماه ، ساعت 22:00 جوان 21 ساله به دلیل فرو رفتن میخ به ناحیه قفسه سینه و قلب وی از شهر داورزن به بیمارستان حشمتیه منتقل شد. وی افزود: بیمار در هنگام ورود به بیمارستان دچار کاهش هوشیاری و افت شدید علایم حیاتی بوده است و در حالت احیای قلبی و ریوی سریعا به بخش اتاق عمل منتقل می گردد و تحت عمل جراحی قرار می گیرد. خوشبختانه تیم جراحی قلب این بیمارستان به سرپرستی دکترعبدالرحمن جراح قلب همچنین متخصص بیهوشی قلب دکتر یوسفی ، پزشک متخصص داخلی قلب دکتر اسماعیلیان وتیم اتاق عمل قلب در یک عمل جراحی 1.5 ساعته اقدام به بازکردن قفسه سینه و خارج کردن میخ از قلب این بیمار می نمایند.. دکتر عبدالرحمن با بیان این نکته که با توجه به شرایط بیمار نیاز فوری به انجام عمل جراحی بوده است گفت میخ 5 سانتیمتری از سمت چپ استخوان جناغ بیمار وارد و به بطن راست قلب آسیب وارد کرده بود.بعد از باز شدن قفسه سینه ،بعلت عدم حرکت قلب با انجام ماساژ باز قلب تا ضربان قلب برگردد. بعد ازترمیم ناحیه پارگی و خارج کردن میخ قفسه سینه بیمار بسته شد و بیمار به بخش مارقبت های ویژه قلب باز منتقل گردید.. دکتر راستی در ادامه گفت که بیمار با هوشیاری کامل و وضعیت عمومی بسیار مطلوب بعد از پنج روز تحت مراقبت بودن 28 خرداد مرخص گردید. وی در ادامه از زحمات تیم جراحی و تیم پرستاری بخش مراقبت های ویژه قلب باز تشکر کرد که با عملکرد مطلوب خود باعث بهبود حال بیمار شدند. 
تاریخ درج خبر: پنج شنبه ٣٠ خرداد ١٣٩٨ / شماره خبر: ١٠٣٧٥ / تعداد بازدید: 1194
| نام : | |
| ایمیل : | |
| *نظرات : | |
| | |
| متن تصویر: | |